Weiter zum Inhalt
Abo
Werbung
Werbung
Werbung
Werbung
  1. Start
  2. /
  3. Superbike
  4. /
  5. Superbike WM
  6. /
  7. News
Werbung
Dominic Schmitter: «Arzt spricht von einem Wunder»
Mitte März hat sich Dominic Schmitter mehrere Trümmerbrüche in der rechten Hand zugezogen. Der Schweizer ist zuversichtlich, dass er bei der Superbike-WM in Misano Ende Juni mit Wildcard dabei sein kann.
Superbike WM
Im Artikel erwähnt

Werbung
Alle MotoGP-Fans fieberten der Saison 2025 entgegen. Ein sensationeller Dreikampf mit Marc Marquez, Pecco Bagnaia und Jorge Martin war vorprogrammiert. Doch für zwei Piloten lief das Jahr komplett aus dem Ruder.
Weiterlesen
Werbung
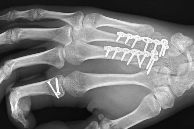
Dominic Schmitter hätte Mitte April bei der Superbike-WM in Assen mit Wildcard fahren sollen. Doch bei einem Test in Cartagena zog er sich am 19. März in der rechten Hand drei Trümmerbrüche, einen Gelenkbruch sowie drei gerissene Sehnen zu. Inzwischen hat sich der Rheintaler von den Verletzungen gut erholt, die Beweglichkeit der Gashand wird täglich besser. "Die Knochenbrüche sind verheilt, die Durchblutung sei gut, sagte mir mein Arzt beim letzten Besuch", erzählte Schmitter SPEEDWEEK.com. "Sofern mir die Dorna das Okay gibt, sollte meinem Wildcard-Start in Misano nichts im Weg stehen."
Werbung
Werbung
Die WM-Läufe an der Adria finden am Wochenende 22./23. Juni statt, "ich werde ab kommendem Wochenende bis Misano jedes Wochenende auf der Yamaha sitzen", so Schmitter. "Erst fahre ich Schweizer Meisterschaft in Dijon, dann gehen wir testen, dann ist IDM Oschersleben, dann teste ich zwei Tage mit YART. Ich bin noch nie mit dem YART-Bike gefahren und hoffe, dass es so super ist, wie es heißt." Schmitter bekommt für die Superbike-WM ein von YART vorbereitetes Motorrad, welches bis auf elektronische Feinheiten jenen Motorrädern der ab Jerez fünf Yamaha-Piloten Alex Lowes, Michael van der Mark, Marco Melandri, Sandro Cortese und Loris Baz entsprechen wird. Auch sein Bike wird blau lackiert sein, als Titelsponsor wirbt der Schweizer Bekleidungshersteller iXS groß auf der Verkleidung. Den ersten Lauf zur Schweizer Meisterschaft in Valencia verpasste Schmitter verletzungsbedingt, bei den fünf ausstehenden Rennen müssen möglichst viele Siege her, um die Chance auf die Titelverteidigung zu wahren.
Werbung
Werbung
"Mein Ziel sind immer Siege", unterstreicht der demnächst 25-Jährige. "Mühe macht mir wahrscheinlich die Beweglichkeit im Handgelenk. Das ist wegen der Platten, die bleiben bis Ende Jahr drin. Im Idealfall behindern sie mich nicht. Mein Arzt sagte mir, dass alles so gut verheilt sei, dass ich mir keine Sorgen machen brauche. Ich könnte sogar auf die Hand stürzen. So eine Heilung hätte er noch nie erlebt, meinte er und sprach von einem Wunder. Und der Doc steht kurz vor der Pension."
Alle MotoGP-Fans fieberten der Saison 2025 entgegen. Ein sensationeller Dreikampf mit Marc Marquez, Pecco Bagnaia und Jorge Martin war vorprogrammiert. Doch für zwei Piloten lief das Jahr komplett aus dem Ruder.
Weiterlesen
Schon gesehen?
Verpassen Sie keine Highlights mehr: Der Speedweek Newsletter liefert Ihnen zweimal wöchentlich aktuelle Nachrichten, exklusive Kommentare und alle wichtigen Termine aus der Welt des Motorsports - direkt in Ihr E-Mail-Postfach
Weiterlesen

Themen
  • Superbike WM
WM-StandVoller Stand
  1. Fahrer
  2. Teams
  3. Konstrukteure
202520242023
Pos
Fahrer
Team
Punkte
1
Toprak Razgatlioglu
ROKiT BMW Motorrad WorldSBK Team
616
2
Nicolò Bulega
Aruba.it Racing - Ducati
603
3
Álvaro Bautista
Aruba.it Racing - Ducati
337
4
Andrea Locatelli
Pata Maxus Yamaha
310
5
Danilo Petrucci
BARNI Spark Racing Team
284
6
Alex Lowes
bimota by Kawasaki Racing Team
218
7
Xavier Vierge
Honda HRC
185
8
Sam Lowes
Elf Marc VDS Racing Team
184
9
Andrea Iannone
Team Pata Go Eleven
166
10
Axel Bassani
bimota by Kawasaki Racing Team
140
Mehr laden
EventsAlle Superbike WM Events
  • Vergangen
    Aragon
    Motorland Aragón, Spanien
    26. - 28.09.2025
    Zum Event
  • Vergangen
    Estoril
    Autódromo do Estoril , Portugal
    10. - 12.10.2025
    Zum Event
  • Vergangen
    Spain
    Circuito de Jerez, Spanien
    17. - 19.10.2025
    Zum Event
  1. Vergangen
    Aragon
    Motorland Aragón, Spanien
    26. - 28.09.2025
    Zum Event
  2. Vergangen
    Estoril
    Autódromo do Estoril , Portugal
    10. - 12.10.2025
    Zum Event
  3. Vergangen
    Spain
    Circuito de Jerez, Spanien
    17. - 19.10.2025
    Zum Event
Superbike NewsAlle News
    Speedweek.com - Der beste Motorsport im Netz
    Die aktuellsten News rund um die Uhr, von Experten analysiert und kommentiert und exklusive Einblicke hinter die Kulissen. Hier schreiben Fans für Fans.
    Berichte & Analysen
    Redaktion
    Serien