Weiter zum Inhalt
Abo
Werbung
Werbung
Werbung
Werbung
  1. Start
  2. /
  3. Superbike-WM
  4. /
  5. Superbike WM
  6. /
  7. News
Werbung
Autsch: So hat sich Tom Sykes den Finger gebrochen
Zuerst hieß es lediglich, Tom Sykes habe sich bei seinem Sturz im dritten Training den kleinen Finger gebrochen, doch die Verletzung war umfangreicher. Zwei Stunden wurde der Kawasaki-Pilot operiert.
Superbike WM
Im Artikel erwähnt

Werbung
Werbung
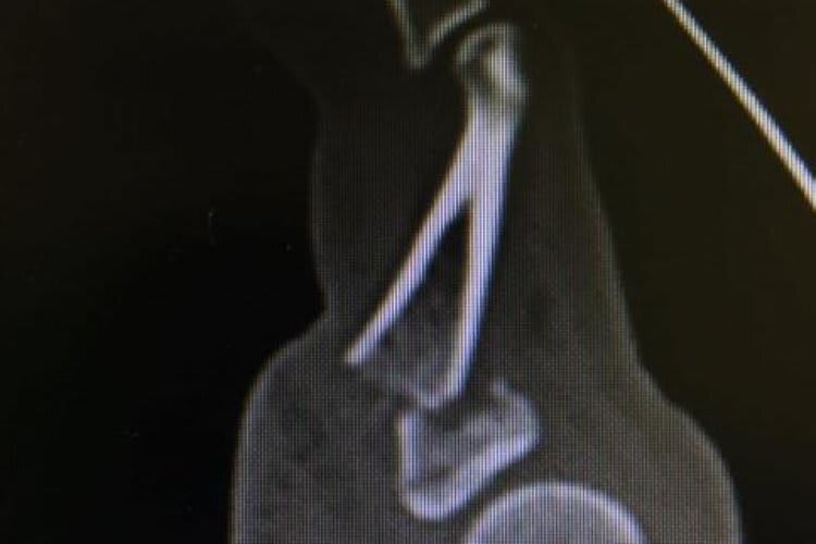
Dass der Bruch im kleinen Finger der linken Hand verschoben war, wurde von den Rennärzten in Portimão bestätigt. Jedoch konnte die Bruchstelle nicht gerichtet werden, dafür reiste Sykes noch am Samstag nach Barcelona, wo er am frühen Sonntagmorgen im 'Clínica Mi Tres Torres' von Jordi Font Segura und Enric Domínguez operiert wurde. Die beiden Operateure sind auf Verletzungen an Hand und Ellbogen spezialisiert.
Werbung
Werbung
Dabei wurde entdeckt, dass sich Sykes nicht nur den fünften Finger gebrochen hatte, sondern auch den vierten sowie das Handgelenk. Somit war eine Rennteilnahme des 32-Jährigen unmöglich. Der Eingriff dauerte zwei Stunden, bei dem der fünfte Finger mittels einer Metallplatte fixiert wurde. "Die Ärzte scheinen mit dem OP-Verlauf zufrieden zu sein", sagte Sykes aus dem Krankenbett. "Es war ein schlimmer Bruch. Im Finger daneben war ein Riss und auch an der Speiche, unmittelbar am Handgelenk. Eine solche Verletzung hatte ich schon einmal und bin dennoch nach vier Tagen auf Phillip Island die Rennen gefahren. Ich muss abwarten, wie es dieses Mal funktioniert." Im günstigsten Fall sprachen die Ärzte von einer vergleichsweise kurzen Genesungszeit. Die Teilnahme am Meeting in Magny-Cours könnte möglich sein.
Werbung
Werbung
Sykes war im dritten Training am Samstag nach einem Highsider in Kurve 9 gestürzt. Der 32-Jährige kämpfte lange mit seiner ZX-10RR, um sie wieder einzufangen. Sykes flog dann aber über das Bike und krachte hart auf den Asphalt auf – mit einem brennenden Motorrad neben sich. Der Arm des Briten brannte ebenfalls, zum Glück nur kurz. In besagter Kurve klagten die Superbike-Asse über massive Bodenwellen.
Schon gesehen?
Verpassen Sie keine Highlights mehr: Der Speedweek Newsletter liefert Ihnen zweimal wöchentlich aktuelle Nachrichten, exklusive Kommentare und alle wichtigen Termine aus der Welt des Motorsports - direkt in Ihr E-Mail-Postfach
Weiterlesen

Themen
  • Superbike WM
Aktueller StandVoller Stand
  1. Fahrer
  2. Teams
  3. Konstrukteure
2026202520242023
Pos
Fahrer
Team
Punkte
1
Nicolò Bulega
Aruba.it Racing - Ducati
124
2
Iker Lecuona
Aruba.it Racing - Ducati
68
3
Axel Bassani
Bimota by Kawasaki Racing Team
60
4
Miguel Oliveira
ROKiT BMW Motorrad WorldSBK Team
56
5
Alex Lowes
Bimota by Kawasaki Racing Team
48
6
Sam Lowes
Elf Marc VDS Racing Team
43
7
Lorenzo Baldassarri
Team GoEleven
40
8
Danilo Petrucci
ROKiT BMW Motorrad WorldSBK Team
31
9
Yari Montella
BARNI Spark Racing Team
30
10
Álvaro Bautista
BARNI Spark Racing Team
27
Mehr laden
EventsAlle Superbike WM Events
  • Vergangen
    Phillip Island/Australien
    Phillip Island Grand Prix Circuit, Australien
    20.–22.02.2026
    Zum Event
  • Vergangen
    Algarve/Portugal
    Algarve International Circuit, Portugal
    27.–29.03.2026
    Zum Event
  • Demnächst
    Assen/Niederlande
    TT Circuit Assen, Niederlande
    17.–19.04.2026
    Zum Event
  • Balaton Park/Ungarn
    Balaton Park Circuit, Ungarn
    01.–03.05.2026
    Zum Event
  • Most/Tschechien
    Autodrom Most, Tschechien
    15.–17.05.2026
    Zum Event
  1. Vergangen
    Phillip Island/Australien
    Phillip Island Grand Prix Circuit, Australien
    20.–22.02.2026
    Zum Event
  2. Vergangen
    Algarve/Portugal
    Algarve International Circuit, Portugal
    27.–29.03.2026
    Zum Event
  3. Demnächst
    Assen/Niederlande
    TT Circuit Assen, Niederlande
    17.–19.04.2026
    Zum Event
  4. Balaton Park/Ungarn
    Balaton Park Circuit, Ungarn
    01.–03.05.2026
    Zum Event
  5. Most/Tschechien
    Autodrom Most, Tschechien
    15.–17.05.2026
    Zum Event
Superbike-WM NewsAlle News
    Speedweek.com - Der beste Motorsport im Netz
    Die aktuellsten News rund um die Uhr, von Experten analysiert und kommentiert und exklusive Einblicke hinter die Kulissen. Hier schreiben Fans für Fans.
    Berichte & Analysen
    Redaktion
    Serien