Weiter zum Inhalt
Abo
Werbung
Werbung
Werbung
Werbung
  1. Start
  2. /
  3. Mehr Motorrad
  4. /
  5. Endurance-WM
  6. /
  7. News
Werbung
Dominik Vincon: Endurance trotz Knochenbruch
Auch mit einem gebrochenen Mittelhandknochen kann man Langstrecken-WM fahren. Nach einer Operation ist für den BMW-Piloten vom Team LRP Poland alles wieder im Lot und Oschersleben kann kommen.
Endurance-WM
Im Artikel erwähnt


Werbung
Werbung
Motorradsportler mögen es ja gerne mal etwas kerniger. In der Langstrecken-Weltmeisterschaft sowieso. Dominik Vincon vom Team LRP Poland, wo er an der Seite von Arnaud Friedrich unterwegs ist, gehört wohl auch zu dieser Sorte. Beim Acht-Stunden-Rennen auf dem Slovakiaring war er im Training gestürzt. Für einen Arztbesuch fehlte die Zeit, daher erledigte er seinen Job und ging erst hinterher, nachdem er noch die Heimreise in den Südwesten von Deutschland hinter sich gebracht hatte, zum Arzt. Inzwischen wurde Vincon erfolgreich operiert.
Werbung
Werbung
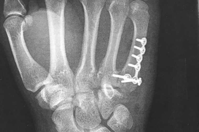
Im Zeittraining zum WM-Lauf hatte es geregnet und Vincon liess es nicht übertrieben schnell angehen. Doch das Sondieren der Streckenverhältnisse ging gerade mal zwei Runden lang. Das Hinterrad ging weg und er flog per Highsider ab. "Der Sturz selber war jetzt nicht so schlimm", erklärt er. "Aber ich bin halt blöd auf die rechte Hand gefallen." Zeit für einen Arztbesuch blieb nicht. "Es war ja Quali", so die einfache Antwort nach dem Warum. "Im Nassen ging es noch ganz gut, als die Strecke abtrocknete war mir schon klar, dass es problematisch werden würde. Meine Zeiten waren nicht hervorragend aber akzeptabel." Der Arztbesuch Anfang dieser Woche brachte dann den Bruch des fünften Mittelhandknochens zu Tage. Ein Bruch, der ohne Operation ca. sechs Wochen zur Heilung benötigt. Zu lang für Dominik Vincon. Er unterzog sich einer ambulanten Operation. "Es wurde dann doch etwas größer", erzählt er. "Aber viel hält viel. Ich will ja in drei Wochen beim Endurance-Finale in Oschersleben dabei sein."
Werbung
Werbung
Schon gesehen?
Verpassen Sie keine Highlights mehr: Der Speedweek Newsletter liefert Ihnen zweimal wöchentlich aktuelle Nachrichten, exklusive Kommentare und alle wichtigen Termine aus der Welt des Motorsports - direkt in Ihr E-Mail-Postfach
Weiterlesen

Themen
  • Endurance-WM
Mehr Motorrad NewsAlle News
    Speedweek.com - Der beste Motorsport im Netz
    Die aktuellsten News rund um die Uhr, von Experten analysiert und kommentiert und exklusive Einblicke hinter die Kulissen. Hier schreiben Fans für Fans.
    Berichte & Analysen
    Redaktion
    Serien