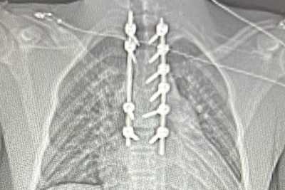
Der beim Hawkstone International schwer verletzte Ashden Barlow wurde erfolgreich operiert. Die gebrochenen und beschädigten Wirbelkörper wurden mit Metallstangen verbunden und fixiert.
Lando Norris ist Formel-1-Weltmeister 2025, mit Rang 3 in Abu Dhabi hat er sich erstmals den Titel gesichert, als elfter Fahrer aus Grossbritannien. Aber wer ist dieser Lando Norris eigentlich?
Weiterlesen
Werbung
Für den Ende Februar beim Vorsaisonrennen Hawkstone International in der 125-Klasse schwer verletzten Briten Ashden Barlow gibt es Hoffnung. Zur Erinnerung: Neben zahlreichen inneren Verletzungen und Blutungen wurden bei dem Crash 8 Wirbel gebrochen oder beschädigt. Das Schlimmste: Der Spinalkanal war betroffen, so dass eine Querschnittslähmung zu befürchten war.
Werbung
Werbung
Inzwischen wurden die beschädigten Wirbel im Brustbereich operativ mit Metallstangen und Schrauben fixiert. Ashden hatte nach dem Unfall und später auf der Intensivstation kein Gefühl mehr in der rechten Körperhälfte. Nach vielen Tagen des Bangens kann er sein Bein wieder bewegen. Das bedeutet zwar in Hinblick auf Spätfolgen noch keine Entwarnung, aber es gibt Hoffnungen, dass er wieder in sein normales Leben zurückfinden kann. Dafür drücken wir im Namen aller Leser die Daumen und wünschen von dieser Stelle aus gute Genesung.
Lando Norris ist Formel-1-Weltmeister 2025, mit Rang 3 in Abu Dhabi hat er sich erstmals den Titel gesichert, als elfter Fahrer aus Grossbritannien. Aber wer ist dieser Lando Norris eigentlich?
Verpassen Sie keine Highlights mehr: Der Speedweek Newsletter liefert Ihnen zweimal wöchentlich aktuelle Nachrichten, exklusive Kommentare und alle wichtigen Termine aus der Welt des Motorsports - direkt in Ihr E-Mail-Postfach
Die aktuellsten News rund um die Uhr, von Experten analysiert und kommentiert und exklusive Einblicke hinter die Kulissen. Hier schreiben Fans für Fans.