Weiter zum Inhalt
Abo
Werbung
Werbung
Werbung
Werbung
  1. Start
  2. /
  3. IDM
  4. /
  5. IDM Superbike
  6. /
  7. News
Werbung
Erste Knochen kaputt vor IDM-Rennen in Assen
In der Startaufstellung zu den beiden Rennen in den Niederlanden im Rahmen des vierten IDM-Superbike-Wochenendes werden Sarah Heide und Patryk Kosiniak fehlen. Knochen entzwei und Knie hinüber.
IDM Superbike
Im Artikel erwähnt





Werbung
Werbung
Marco Nekvasil hatte seinen Dienst im Team Wilbers BMW Racing gerade erst angetreten. Er ersetzt den seit letztem Jahr verletzten Polen Ireneusz Sikora, der immer noch mit den Nachwehen eines Oberschenkelbruchs zu kämpfen hat. Marco Nekvasil, selber im Vorjahr mit schweren Beinbrüchen im Krankenhaus gelandet, ist inzwischen wieder startklar und kehrt in Assen in die IDM zurück.
Werbung
Werbung
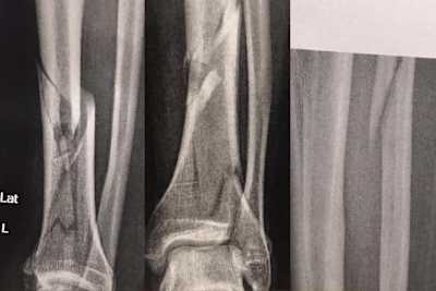
Doch sein Teamkollege Patryk Kosiniak, Sieger des Yamaha R6 Dunlop Cup 2016, kam im Freien Training von Assen gerade mal eine Runde weit. Sturz auf einer noch nicht ganz trockenen Stelle, Krankenhaus, Operation. Diagnose: Doppelter Unterschenkel-Bruch links. Die Saison dürfte damit gelaufen sein. Am Samstag-Abend erwischte es Sarah Heide vom Team Suzuki Laux. Zwar auf zwei Rädern, aber ohne Motor. Die IDM Superbike-Pilotin war mit dem Fahrrad unterwegs und stürzte unglücklich. Diagnose: rausgesprungene Kniescheibe. Zumindest die Rennen in Assen sind für Heide gestrichen. Damit fehlt eine der zwei Damen im Feld und es ist an Kawasaki-Pilotin Lucy Glöckner, die bei ihrem IDM-Comeback auf dem Schleizer Dreieck flott in die Top Ten gerauscht war, die Ehre der weiblichen IDM-Abteilung zu retten. Aus auch für Jessica Langstädtler vom Yamaha R6 Dunlop Cup. Sie verletzte sich bei einem Sturz im Training an der Schulter und übte sich anschliessend übers Strecken-Mikrofon als Co-Kommentatorin.
Werbung
Werbung
Schon gesehen?
Verpassen Sie keine Highlights mehr: Der Speedweek Newsletter liefert Ihnen zweimal wöchentlich aktuelle Nachrichten, exklusive Kommentare und alle wichtigen Termine aus der Welt des Motorsports - direkt in Ihr E-Mail-Postfach
Weiterlesen

Themen
  • IDM Superbike
EventsAlle IDM Superbike Events
  • Sachsenring
    Sachsenring, Deutschland
    08.–10.05.2026
    Zum Event
  • Brünn
    Automotodrom Brno, Tschechien
    29.–31.05.2026
    Zum Event
  • Most
    Autodrom Most, Tschechien
    26.–28.06.2026
    Zum Event
  • Oschersleben
    Motorsport Arena Oschersleben, Deutschland
    31.07. – 02.08.2026
    Zum Event
  • Assen
    TT Circuit Assen, Niederlande
    14.–16.08.2026
    Zum Event
  1. Sachsenring
    Sachsenring, Deutschland
    08.–10.05.2026
    Zum Event
  2. Brünn
    Automotodrom Brno, Tschechien
    29.–31.05.2026
    Zum Event
  3. Most
    Autodrom Most, Tschechien
    26.–28.06.2026
    Zum Event
  4. Oschersleben
    Motorsport Arena Oschersleben, Deutschland
    31.07. – 02.08.2026
    Zum Event
  5. Assen
    TT Circuit Assen, Niederlande
    14.–16.08.2026
    Zum Event
IDM NewsAlle News
    Speedweek.com - Der beste Motorsport im Netz
    Die aktuellsten News rund um die Uhr, von Experten analysiert und kommentiert und exklusive Einblicke hinter die Kulissen. Hier schreiben Fans für Fans.
    Berichte & Analysen
    Redaktion
    Serien