Weiter zum Inhalt
Abo
Werbung
Werbung
Werbung
Werbung
  1. Start
  2. /
  3. Motocross
  4. /
  5. Motocross
  6. /
  7. News
Werbung
Alexandr Tonkov: 14 Schrauben in der Wirbelsäule
Der Anfang September auf der Halbinsel Kamtschatka verunglückte frühere WM-Pilot Alexandr Tonkov befindet sich weiter in in der Rehabilitation. Seine Wirbelsäule wurde mit Metallstäben und Schrauben fixiert.
Motocross
Werbung
Werbung
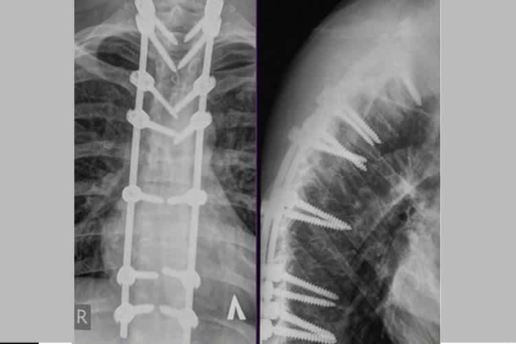
Nach seinem verheerenden Crash auf der Halbinsel Kamtschatka Anfang September wurde Alexandr Tonkov in die 6000 km entfernte russische Hauptstadt Moskau ausgeflogen, wo mehrere gebrochene Wirbel mit Titanstäben stabilisiert und verschraubt wurden. Mindestens 14 Schrauben sind auf dem Röntgenbild zu erkennen, das Tonkov in den sozialen Medien veröffentlichte.
Werbung
Werbung
Der Russe befindet sich derzeit in der Rehabilitation und berichtet über stetige Verbesserungen und Trainingserfolge. Ob er allerdings jemals wieder Motocross fahren kann, ist weiterhin fraglich, denn auch die Bandscheiben wurden in Mitleidenschaft gezogen. Unmittelbar nach seinem schlimmen Unfall auf Kamtschatka war zunächst von schwersten Verletzungen des Spinalkanals und Lähmungserscheinungen die Rede. Diese Befürchtungen bewahrheiteten sich glücklicherweise nicht.
Werbung
Werbung
Schon gesehen?
Verpassen Sie keine Highlights mehr: Der Speedweek Newsletter liefert Ihnen zweimal wöchentlich aktuelle Nachrichten, exklusive Kommentare und alle wichtigen Termine aus der Welt des Motorsports - direkt in Ihr E-Mail-Postfach
Weiterlesen

Themen
  • Motocross
    Speedweek.com - Der beste Motorsport im Netz
    Die aktuellsten News rund um die Uhr, von Experten analysiert und kommentiert und exklusive Einblicke hinter die Kulissen. Hier schreiben Fans für Fans.
    Berichte & Analysen
    Redaktion
    Serien