Weiter zum Inhalt
Abo
Werbung
Werbung
Werbung
Werbung
  1. Start
  2. /
  3. Superbike
  4. /
  5. Superbike WM
  6. /
  7. News
Werbung
Neukirchner: Fussbrüche schlimmer als erwartet
Max Neukirchner wird morgen in ein deutsches Krankenhaus verlegt. Die Brüche in den Füssen sind schwerwiegender als gedacht.
Superbike WM
Werbung
Alle MotoGP-Fans fieberten der Saison 2025 entgegen. Ein sensationeller Dreikampf mit Marc Marquez, Pecco Bagnaia und Jorge Martin war vorprogrammiert. Doch für zwei Piloten lief das Jahr komplett aus dem Ruder.
Weiterlesen
Werbung
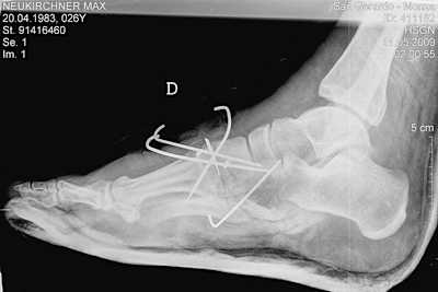
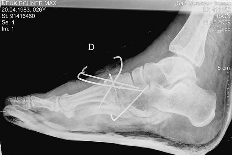
Max Neukirchners rechte Körperseite wurde bei dem Unfall in Monza schwer lädiert. Neben einem einfachen Oberschenkelbruch zog er sich einen doppelten Wadenbeinbruch und mehrere Brüche im Fuss zu. Der Oberschenkel wurde mit einem Marknagel fixiert, die Brüche im Fuss verdrahtet.
Werbung
Werbung
Am heutigen Mittwoch schaute sich Neukirchner erstmals das Video von seinem Unfall an und wirkte danach schockiert. "Letztlich hatte ich aber noch Glück im Unglück", meinte der 26-jährige Sachse, der jeden Tag weniger Schmerzen verspürt.
Alle MotoGP-Fans fieberten der Saison 2025 entgegen. Ein sensationeller Dreikampf mit Marc Marquez, Pecco Bagnaia und Jorge Martin war vorprogrammiert. Doch für zwei Piloten lief das Jahr komplett aus dem Ruder.
Weiterlesen
Schon gesehen?
Verpassen Sie keine Highlights mehr: Der Speedweek Newsletter liefert Ihnen zweimal wöchentlich aktuelle Nachrichten, exklusive Kommentare und alle wichtigen Termine aus der Welt des Motorsports - direkt in Ihr E-Mail-Postfach
Weiterlesen

Themen
  • Superbike WM
WM-StandVoller Stand
  1. Fahrer
  2. Teams
  3. Konstrukteure
202520242023
Pos
Fahrer
Team
Punkte
1
Toprak Razgatlioglu
ROKiT BMW Motorrad WorldSBK Team
616
2
Nicolò Bulega
Aruba.it Racing - Ducati
603
3
Álvaro Bautista
Aruba.it Racing - Ducati
337
4
Andrea Locatelli
Pata Maxus Yamaha
310
5
Danilo Petrucci
BARNI Spark Racing Team
284
6
Alex Lowes
bimota by Kawasaki Racing Team
218
7
Xavier Vierge
Honda HRC
185
8
Sam Lowes
Elf Marc VDS Racing Team
184
9
Andrea Iannone
Team Pata Go Eleven
166
10
Axel Bassani
bimota by Kawasaki Racing Team
140
Mehr laden
EventsAlle Superbike WM Events
  • Vergangen
    Aragon
    Motorland Aragón, Spanien
    26. - 28.09.2025
    Zum Event
  • Vergangen
    Estoril
    Autódromo do Estoril , Portugal
    10. - 12.10.2025
    Zum Event
  • Vergangen
    Spain
    Circuito de Jerez, Spanien
    17. - 19.10.2025
    Zum Event
  1. Vergangen
    Aragon
    Motorland Aragón, Spanien
    26. - 28.09.2025
    Zum Event
  2. Vergangen
    Estoril
    Autódromo do Estoril , Portugal
    10. - 12.10.2025
    Zum Event
  3. Vergangen
    Spain
    Circuito de Jerez, Spanien
    17. - 19.10.2025
    Zum Event
Superbike NewsAlle News
    Speedweek.com - Der beste Motorsport im Netz
    Die aktuellsten News rund um die Uhr, von Experten analysiert und kommentiert und exklusive Einblicke hinter die Kulissen. Hier schreiben Fans für Fans.
    Berichte & Analysen
    Redaktion
    Serien